Bệnh nhân T. mang khối u hốc mắt suốt 4 năm khiến thị lực suy giảm nghiêm trọng đã được các bác sĩ tại Việt Nam phẫu thuật thành công, giữ lại ánh sáng.
- Nghị định 168: Làm rõ các quy định xử phạt trong lĩnh vực giao thông
- Lẩu gà Mạc thị quá đông khách, chủ quán than kiệt sức
- Phạm Minh Tâm: Người bán vé số nhận lại sự hỗ trợ lớn sau khi đánh rơi tiền
U hốc mắt âm thầm phát triển khiến người bệnh chủ quan
Suốt bốn năm qua, anh T., một người đàn ông 41 tuổi mang quốc tịch nước ngoài, đã phải chung sống với tình trạng mắt trái bị lồi nhẹ. Do không có cảm giác đau nhức và các hoạt động sinh hoạt thường ngày chưa bị ảnh hưởng rõ rệt, anh cho rằng đây chỉ là một thay đổi sinh lý bình thường nên đã không đi thăm khám sớm.Tuy nhiên, theo thời gian, tình trạng lồi mắt ngày càng nghiêm trọng hơn, kèm theo đó là thị lực bắt đầu suy giảm, gây ra nhiều bất tiện trong cuộc sống.
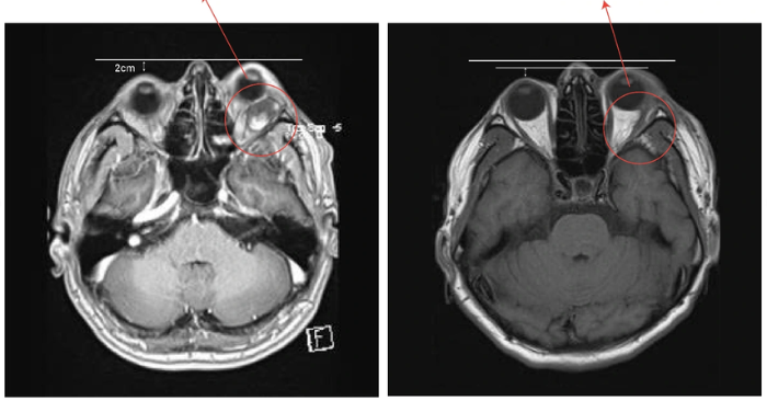
Sự lo lắng của gia đình đã thúc đẩy anh tìm kiếm giải pháp y tế chuyên sâu tại Việt Nam. Qua lời giới thiệu từ bạn bè về những ca bệnh phức tạp đã được điều trị thành công, anh T. quyết định đến Bệnh viện Đa khoa Quốc tế Nam Sài Gòn để cầu cứu. Sau khi thực hiện kiểm tra lâm sàng và chụp MRI, các bác sĩ tại khoa Ngoại thần kinh – Cột sống đã phát hiện một khối u kích thước lớn đang âm thầm phát triển sâu phía sau nhãn cầu trái, liên tục chèn ép dây thần kinh thị giác của bệnh nhân.
U hốc mắt đe dọa thị lực và ca phẫu thuật vi phẫu
Thạc sĩ, bác sĩ Đỗ Anh Vũ cho biết khối u nằm tại vùng đỉnh hốc mắt, nơi tập trung nhiều hệ thống cơ vận nhãn và dây thần kinh thị giác quan trọng. Nếu không được can thiệp phẫu thuật kịp thời, áp lực từ khối u sẽ khiến bệnh nhân đứng trước nguy cơ mù lòa vĩnh viễn. Đây là một ca phẫu thuật đầy thách thức vì khu vực đỉnh hốc mắt vốn rất nhạy cảm, chỉ cần một sơ suất nhỏ cũng có thể dẫn đến những hậu quả không thể phục hồi cho chức năng mắt của người bệnh.
Để đảm bảo độ chính xác tuyệt đối, ê-kíp phẫu thuật đã ứng dụng hệ thống kính vi phẫu TIVATO 700 hiện đại để phóng đại các cấu trúc siêu nhỏ trong hốc mắt. Trong hơn bốn giờ đồng hồ căng thẳng, các bác sĩ đã tỉ mỉ bóc tách khối u dài khoảng 4cm ra khỏi các mô xung quanh mà không cần phải thực hiện cắt xương hốc mắt. Kết quả giải phẫu bệnh sau đó xác định đây là u mạch máu dạng hang lành tính, giúp xua tan mọi lo lắng về tâm lý cho bệnh nhân và người thân.
Phục hồi thị lực và những khuyến cáo từ chuyên gia
Quá trình hồi phục sau phẫu thuật diễn ra rất thuận lợi khi nhãn cầu của anh T. dần trở lại vị trí tự nhiên và cảm giác nặng nề biến mất hoàn toàn. Thị lực của bệnh nhân sau mổ đạt mức ổn định 10/10, một kết quả vượt ngoài mong đợi cho cả gia đình và đội ngũ y tế. Chỉ sau một tuần được chăm sóc hậu phẫu chu đáo, người đàn ông này đã có thể xuất viện trong tình trạng sức khỏe tốt và tinh thần phấn khởi.
Từ trường hợp của anh T., các chuyên gia y tế khuyến cáo người dân cần đặc biệt chú ý đến các dấu hiệu bất thường ở vùng mắt. Những triệu chứng như lồi mắt một bên hoặc cả hai bên, sưng nề mi không rõ nguyên nhân hay thị lực giảm sút đột ngột đều cần được thăm khám ngay. Việc sử dụng các phương tiện chẩn đoán hình ảnh hiện đại như MRI sẽ giúp phát hiện sớm các khối u, từ đó nâng cao hiệu quả điều trị và bảo tồn tối đa chức năng thị giác cũng như yếu tố thẩm mỹ cho người bệnh.
Theo: Báo Dân trí).

